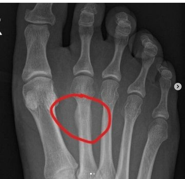
Lamentablemente, debido a una fractura por estrés, Eliya ha tenido que retirarse de la carrera. Estamos muy tristes, ya que Eliya era nuestro primer participante de Israel.
Esperemos que esta racha de accidentes y lesiones se pare ya!.
En palabras de Eliya:
https://www.instagram.com/p/CfAHM-CDWPU/
La carrera X-Pyr ha estado en mi punto de mira desde que empecé a volar. Es una carrera cumbre para los atletas de Hike& Fly. He pensado y entrenado mucho para preparar este monumental esfuerzo de atravesar los Pirineos con un trozo de nylon y dos piernas. Pero como suele ocurrir con las cosas que perseguimos con ahínco, me excedí: unas cuantas sobredosis de entrenamiento de volumen en asfalto me jodieron el hueso metatarsiano. Es una mierda, pero es lo que hay. Ser hombre significa aceptar las decepciones, espabilarse y seguir adelante. Los Pirineos esperarán.
Le deseamos una completa y rápida recuperación!
